乐动体育LDsports中国
表观遗传修饰,包括DNA甲基化和组蛋白修饰,在调节染色质结构和基因表达中起关键作用。在过去的二十年中,鉴定负责添加和擦除这些修改的酶来说,已经取得了巨大进展。然而,大多数表观遗传改性剂的生物学功能仍然明白。
我们的实验室有兴趣解开健康和疾病的表观遗传机制。我们使用遗传,生化和分子方法来研究表观遗传调节剂的作用,特别是参与DNA甲基化和组蛋白赖氨酸甲基化的作用,哺乳动物发育,生理学和各种疾病。
我们当前的工作重点是:
- DNA甲基化和组蛋白修饰之间的串扰
- 发育和疾病中的表观遗传修饰
- 干细胞行为和功能的表观遗传调节
DNA甲基化和组蛋白修饰之间的串扰.
各种表观遗传机制在染色质结构和基因表达的调节中协同和协同协同作用。基因组的研究表明,DNA甲基化标记的分布与特异性组蛋白修饰的富集或耗尽相关。我们的工作重点介绍了DNA甲基化与发育过程和癌症中的组蛋白修饰之间的相互作用。例如,我们最近证明了KDM1B(也称为LSD2和AOF1),赖氨酸去甲基酶,其特异性地除去组蛋白H3(H3K4ME1 / ME2)的赖氨酸4的单甲基(H3K4ME1 / ME2)中的单甲基标记,用于设置DNA甲基化标记在ofoferesis期间的印迹基因座。我们的结果为组织赖氨酸甲基化在基因组印迹调节中提供了第一个遗传证据。
右边的图像显示了配子发育过程中基因组印记建立的模型。我们建议去除H3K4甲基标记(通过KDM1B或其他H3K4 kdm)是新创生殖细胞印迹控制区DNA甲基化(通过DNMT3A-DNMT3L复合物)。
发育和疾病中的表观遗传修饰。
表观遗传状态在体细胞中相对稳定,但在配子发生和早期胚胎发生过程中会发生剧烈的变化(表观遗传重编程)。表观遗传修饰基因的改变与发育障碍和癌症有关。例如,dnmt3b.突变导致ICF (我mmunodeficiency,Centromeric不稳定,F癌症异常)综合征,和dnmt3a.突变常见于血液系统恶性肿瘤。我们感兴趣的是确定参与表观遗传重编程事件的主要表观遗传修饰因子,并了解表观遗传调节因子的突变导致疾病的机制。例如,我们最近发现H3K4去甲基化酶LSD1 (aka KDM1A和AOF2)和H3K9甲基转移酶SETDB1 (aka ESET和KMT1E)是卵母细胞减数分裂进程的关键调控因子。
右侧的图像显示了LSD1缺陷OYCTES的减少缺陷和破碎化。
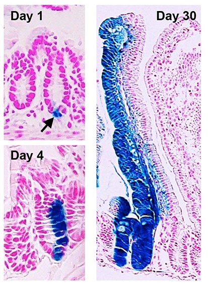
表观遗传调控干细胞行为与功能。
干细胞的特征在于它们的能力来复制自己(自我更新)并产生多种细胞类型(分化)。Totipotent Zygote(受精卵)能够区分胚胎和地产谱系。多能ICM(内部细胞质量)细胞胚囊胚胎和ES细胞(来自ICM的源自ES细胞),具有除胎盘中的所有细胞类型的能力。多能成体干细胞可以产生若干组织特异性细胞类型。我们正在研究参与DNA甲基化和组蛋白修饰的酶的作用,在维持ES细胞多能性和分化中,以及成年干细胞功能,包括组织再生和修复。
右侧的图像显示了遗传谱系追踪实验的结果,表明肠土底部底部的SetDB1表达细胞是能够产生肠上皮的所有细胞类型的肠干细胞。
